Conoscere la malattia rara attraverso la scienza e l’esperienza vissuta da Lorella Ronconi
La pseudoacondroplasia è una malattia genetica rara, poco conosciuta e spesso diagnosticata tardivamente. Le informazioni disponibili sono frammentarie e, in molti casi, non aggiornate. Questo articolo nasce con l’obiettivo di offrire un quadro chiaro, scientificamente corretto e accessibile della patologia, rivolgendosi in particolare a famiglie, genitori, bambini, adolescenti e adulti che convivono con questa condizione.
Il testo si fonda anche sull’esperienza diretta di Lorella Ronconi, donna affetta da una forma gravissima e unica di pseudoacondroplasia, dovuta a una mutazione genetica rarissima del gene COMP. Con ogni probabilità, Lorella rappresenta oggi una delle persone più longeve in Italia con questa specifica genetica, e il suo percorso di vita costituisce una testimonianza clinica, umana e sociale di straordinario valore.
Accanto agli aspetti clinici e genetici, questo contributo intende restituire dignità, consapevolezza e speranza, valorizzando la persona oltre la diagnosi e promuovendo una maggiore attenzione alla ricerca, alla divulgazione scientifica e alle malattie rare ad altissima complessità.
La pseudoacondroplasia (PSACH) è una malattia genetica rara che colpisce la crescita delle ossa. È una forma di nanismo degli arti corti, caratterizzata da un’alterazione del normale processo di ossificazione, cioè della trasformazione della cartilagine in osso, in particolare nelle ossa lunghe di braccia e gambe.
Le persone affette da pseudoacondroplasia presentano una bassa statura sproporzionata, con arti più corti rispetto al tronco, mani e piedi larghi e corti, dita corte (brachidattilia) e una marcata lassità articolare, soprattutto a livello di dita, gomiti e ginocchia. Le caratteristiche del volto e le dimensioni della testa sono generalmente nella norma, così come lo sviluppo cognitivo e l’intelligenza.
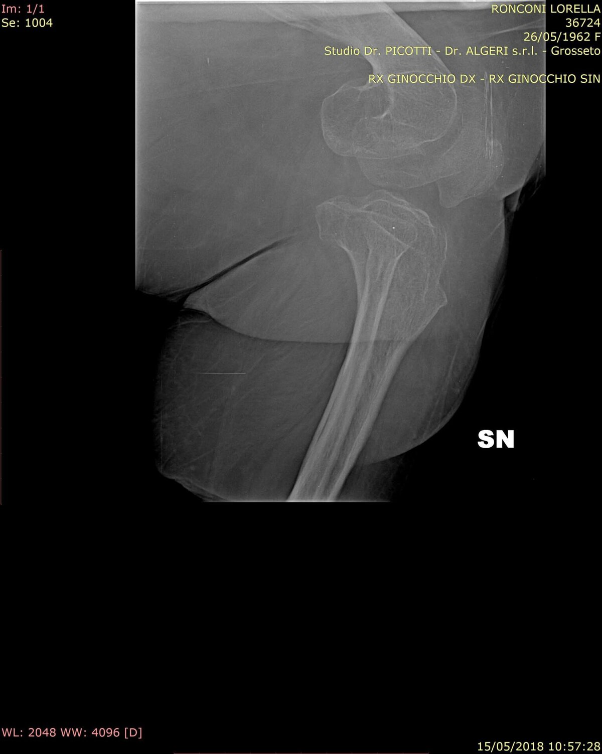
Una delle caratteristiche più gravose della pseudoacondroplasia è il dolore articolare cronico, presente fin dall’infanzia e destinato a peggiorare nel tempo. L’artrosi compare precocemente, spesso già nella prima età adulta, e può interessare numerose articolazioni, compromettendo in modo significativo la qualità della vita.
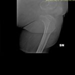
Lorella Ronconi è affetta da una forma gravissima e rarissima di pseudoacondroplasia, con una mutazione genetica unica, che ha determinato nel corso della vita importanti complicanze ortopediche, neurologiche e funzionali.
Cause genetiche
La pseudoacondroplasia è causata da una mutazione del gene COMP (Cartilage Oligomeric Matrix Protein), che codifica una proteina fondamentale per la struttura e la funzione della cartilagine.
La malattia viene generalmente trasmessa con modalità autosomica dominante: ciò significa che è sufficiente una sola copia del gene mutato per sviluppare la patologia. Circa il 70% dei casi è familiare, con un genitore affetto che trasmette la mutazione.
In una percentuale significativa di casi, tuttavia, la pseudoacondroplasia si manifesta come mutazione “de novo”, cioè una mutazione genetica nuova, che si verifica spontaneamente al momento della formazione dell’ovulo o dello spermatozoo. In questi casi i genitori sono geneticamente sani.
Una volta presente, la mutazione può essere trasmessa ai figli con una probabilità del 50% per ogni gravidanza, indipendentemente dal sesso del nascituro. Segni e sintomi della pseudoacondroplasia; sebbene dominante, spesso la malattia si manifesta per una mutazione spontanea (de novo) senza familiarità, specialmente nei figli di genitori di statura media: è importante non confonderla con l’acondroplasia (dovuta invece a mutazioni nel gene FGFR3), pur condividendo la modalità di trasmissione autosomica dominante.
I segni e i sintomi della pseudoacondroplasia
possono manifestarsi già nei primi anni di vita e tendono a peggiorare progressivamente con l’età. L’intensità e la combinazione delle manifestazioni cliniche possono variare da persona a persona, ma esistono caratteristiche ricorrenti.
Tra i principali segni e sintomi si osservano:
-
arti superiori e inferiori corti, in particolare a carico delle ossa lunghe di braccia e gambe;
• ritardo nelle tappe motorie, come il gattonare e il camminare;
• dolori articolari precoci, presenti già in età infantile;
• limitazione del movimento a livello di gomiti e anche;
• iperlassità articolare (movimento eccessivamente ampio) soprattutto nelle mani e nelle caviglie;
• deformità delle ginocchia, come il genu varo (ginocchia rivolte verso l’esterno) o il genu valgo (ginocchia rivolte verso l’interno);
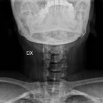
• alterazioni della colonna vertebrale, tra cui scoliosi e lordosi, che possono interessare il tratto cervicale e lombare.
Con il passare degli anni, queste manifestazioni possono evolvere in artrosi precoce, rigidità articolare, limitazioni funzionali e dolore cronico, con un impatto significativo sulla mobilità e sulla qualità della vita.
Esordio e sviluppo della pseudoacondroplasia
Alla nascita, i neonati affetti da pseudoacondroplasia presentano parametri di crescita nella norma e risultano indistinguibili dai neonati non affetti. Proprio per questo motivo, la diagnosi non è immediata e i primi segnali emergono solo con il passare del tempo.
La statura sproporzionatamente bassa diventa più evidente con la crescita, in genere tra i 3 e i 5 anni, quando l’accorciamento delle braccia e delle gambe inizia a manifestarsi in modo più chiaro. Le mani e le dita appaiono particolarmente corte, spesso con pieghe cutanee in eccesso e una marcata lassità articolare.
Paradossalmente, mentre molte articolazioni presentano un’eccessiva mobilità, i gomiti possono mostrare una limitazione del movimento, creando ulteriori difficoltà funzionali. La lassità delle articolazioni del ginocchio contribuisce nel tempo allo sviluppo di deformità degli arti inferiori, come il genu varo (ginocchia rivolte verso l’esterno) o il genu valgo (ginocchia rivolte verso l’interno).
In molti casi, la correzione chirurgica delle deformità diventa necessaria. Tuttavia, gli interventi ortopedici vengono spesso rimandati il più possibile, per consentire una crescita adeguata e ottenere una correzione più stabile e duratura.
Anomalie della colonna vertebrale
Le anomalie della colonna vertebrale sono frequenti nelle persone con pseudoacondroplasia e possono manifestarsi in diverse forme, contribuendo a dolore, rigidità e limitazioni funzionali.
Tra le principali alterazioni si osservano:
-
scoliosi, ovvero una curvatura laterale della colonna vertebrale a forma di “S”;
• iperlordosi lombare, caratterizzata da una curvatura eccessiva verso l’interno del tratto lombare;
• cifosi, una curvatura anomala della parte superiore della colonna vertebrale che provoca un arrotondamento accentuato della schiena.
Queste deformità possono peggiorare nel tempo e richiedono un attento monitoraggio clinico, oltre a interventi terapeutici e riabilitativi mirati.
Dolore, artrosi e qualità della vita
Il dolore articolare nella pseudoacondroplasia compare spesso già nella prima infanzia e tende ad aumentare con l’attività fisica. Gli sforzi che sollecitano eccessivamente le articolazioni dovrebbero essere evitati, in particolare gli sport di contatto e attività ad alto impatto come i trampolini, che possono accelerare il danno articolare.
Il dolore precoce è probabilmente legato a un processo infiammatorio associato all’alterazione dei condrociti, le cellule della cartilagine. Con il passare degli anni, questa condizione evolve quasi inevitabilmente in artrosi precoce, che rappresenta un reperto comune nella prima età adulta.
L’artrosi si manifesta come dolore articolare cronico (artralgia) e colpisce in particolare anche, caviglie, ginocchia, spalle ed gomiti, limitando progressivamente la mobilità e l’autonomia. La malattia articolare degenerativa è progressiva e, nei casi più gravi, può rendere necessari interventi chirurgici, spesso a partire dalla sostituzione protesica dell’anca, seguita nel tempo da altri interventi articolari.
Il trattamento è prevalentemente sintomatico e si basa sull’uso di farmaci antinfiammatori e analgesici, con risultati variabili da persona a persona. La gestione del dolore rappresenta uno degli aspetti più complessi e continuativi della patologia.
L’altezza finale in età adulta è in media di circa 116 cm nelle donne e 120 cm negli uomini, anche se esiste una variabilità individuale e alcuni soggetti possono raggiungere statura maggiore.
È importante sottolineare che l’intelligenza e l’aspettativa di vita non sono compromesse dalla pseudoacondroplasia, al contrario, lo sviluppo cognitivo è nella norma, in moltissimi casi si osserva una precocità intellettiva, con spiccate capacità di adattamento e consapevolezza fin dall’infanzia e q.i. maggiore.
Dal punto di vista somatico, le persone con pseudoacondroplasia presentano tratti del volto armonici, spesso particolarmente espressivi, cinematografici, che contribuiscono a un aspetto riconoscibile e singolare, privo delle caratteristiche tipicamente associate ad altre forme di displasia scheletrica.
Molte persone affette costruiscono famiglie, lavorano e conducono vite attive, produttive e ricche di relazioni, pur convivendo con una patologia complessa e spesso invalidante. Va considerato che la pseudoacondroplasia è una malattia genetica a trasmissione autosomica dominante: ciò significa che la mutazione genetica (solitamente nel gene COMP sul cromosoma 19) si trova su un autosoma (cromosoma non sessuale) e basta una sola copia del gene difettoso, trasmessa da uno solo dei genitori, per causare la malattia. Una persona affetta ha il 50% di probabilità di trasmettere la condizione a ciascun figlio.
Disturbi associati e diagnosi differenziale
La pseudoacondroplasia viene talvolta confusa con l’acondroplasia, ma si tratta di due condizioni distinte, causate da mutazioni genetiche diverse e caratterizzate da un’evoluzione clinica differente. Una corretta diagnosi è fondamentale per impostare un adeguato percorso clinico, terapeutico e di supporto.
Diagnosi della pseudoacondroplasia
La diagnosi di pseudoacondroplasia si basa sull’insieme di segni clinici, reperti radiologici caratteristici e su un’accurata anamnesi del paziente. In particolare, gli esami radiografici evidenziano anomalie dei centri di accrescimento delle ossa (epifisi) e altre alterazioni scheletriche tipiche della patologia.
La diagnosi raramente viene formulata alla nascita, poiché i segni distintivi si sviluppano progressivamente con la crescita. Questo elemento consente di distinguere la pseudoacondroplasia da altre condizioni che determinano arresto o alterazione della crescita già in epoca neonatale.
Tecniche di imaging più avanzate, come la risonanza magnetica (RM) e la tomografia computerizzata (TC), possono essere utilizzate nel corso della vita per valutare lo stato dello scheletro, in particolare in preparazione a interventi chirurgici finalizzati alla correzione delle deformità.
Diagnosi genetica e consulenza
La conferma diagnostica avviene attraverso il sequenziamento del gene COMP, oggi disponibile anche in ambito clinico-specialistico. L’analisi genetica consente di identificare la mutazione specifica responsabile della malattia, permettendo una diagnosi definitiva.
Nei casi di gravidanze a rischio, è possibile effettuare una diagnosi prenatale mediante prelievo dei villi coriali o amniocentesi. La consulenza genetica è fortemente raccomandata, sia per aiutare le famiglie a comprendere la natura ereditaria della patologia, sia per offrire un adeguato supporto informativo e psicosociale lungo tutto il percorso di vita.
Trattamento della pseudoacondroplasia
Attualmente non esiste una cura risolutiva per la pseudoacondroplasia. Il trattamento è principalmente sintomatico e mirato alla gestione delle complicanze che si manifestano nel corso della vita.
L’uso dell’ormone della crescita è controindicato, poiché può determinare gravi complicanze, tra cui la necrosi delle epifisi.
La presa in carico della persona con pseudoacondroplasia richiede generalmente un approccio multidisciplinare, coordinato da un’équipe di specialisti che può includere genetisti, pediatri, chirurghi ortopedici, neurologi, fisioterapisti e altri professionisti sanitari. I trattamenti vengono pianificati in modo personalizzato, tenendo conto di diversi fattori, tra cui:
-
la gravità della patologia;
• la presenza e l’intensità del dolore;
• l’età della persona;
• lo stato di salute generale.
Nonostante la complessità della malattia, molti bambini conducono una vita serena e soddisfacente, anche se il dolore articolare dopo lo sforzo fisico è frequente. In questi casi, gli antidolorifici possono offrire beneficio.
La fisioterapia svolge un ruolo fondamentale nel preservare il movimento articolare, migliorare la funzionalità e prevenire l’atrofia muscolare.
In presenza di deformità significative, in particolare a carico della colonna vertebrale, può rendersi necessario un intervento chirurgico già in età pediatrica. La chirurgia degli arti inferiori è spesso indicata prima dell’età adulta, mentre la sostituzione protesica totale dell’anca diventa necessaria in oltre il 50% delle persone affette nel corso della vita.
Terapie sperimentali
Sono attualmente in corso studi clinici volti a individuare possibili terapie innovative. In particolare, uno studio clinico (NCT03866200 – clinicaltrials.gov) sta valutando l’efficacia dell’antiossidante resveratrolo negli adulti con pseudoacondroplasia.
In modelli murini della malattia, il resveratrolo ha mostrato la capacità di:
-
ridurre l’infiammazione;
• favorire una parziale ripresa della crescita delle ossa lunghe;
• potenzialmente alleviare il dolore.
Sebbene questi risultati siano promettenti, sono necessari ulteriori studi per confermare l’efficacia e la sicurezza di tali approcci nell’uomo.
Classificazione e dati epidemiologici
ORPHA: 750
Sinonimi:
– Displasia pseudoacondroplasica
– Displasia spondiloepifisaria pseudoacondroplasica
Prevalenza: 1–9 casi su 100.000
Trasmissione: autosomica dominante
Età di esordio: infanzia (con parametri neonatali normali)
Codici di riferimento:
– ICD-10: Q77.8
– ICD-11: LD24.60
– OMIM: 177170
– UMLS: C0410538
– MeSH: C535819
– GARD: 4540
Fonti
- Orpha.net – Pseudoacondroplasia
https://www.orpha.net/consor/cgi-bin/OC_Exp.php?Lng=IT&Expert=750 - Sloboden Pečat – “Gi zapoznavame retkite bolesti: Psevdoahondroplazija”
https://www.slobodenpecat.mk/gi-zapoznavame-retkite-bolesti-psevdoahondroplazija/
Nota sull’aggiornamento delle fonti
Le informazioni scientifiche disponibili sulla pseudoacondroplasia risultano ancora oggi limitate e spesso non aggiornate, in particolare nei contesti italiano ed europeo. È significativo osservare come alcuni dei contributi divulgativi più completi e accessibili, come l’articolo pubblicato dal quotidiano macedone Sloboden Pečat, risalgano a oltre tre anni fa. Questa distanza temporale evidenzia una carenza strutturale di aggiornamento e divulgazione sulle malattie rare, soprattutto quando si tratta di condizioni gravissime e a bassissima prevalenza. Una maggiore attenzione alla ricerca, alla comunicazione scientifica e alla diffusione di informazioni aggiornate rappresenta un’esigenza non più rimandabile, nell’interesse delle persone affette e delle loro famiglie.
Esempio di sezione “La mia esperienza personale”
La mia condizione è unica al mondo, dovuta a una mutazione genetica rara e non presente in altri membri della mia famiglia. Questa mutazione, identificata come c.1576G>T (p.Val526Phe) nel gene COMP, altera la proteina fondamentale per la formazione e il mantenimento della cartilagine. Il mio decorso clinico è stato particolarmente complesso: l’osteoporosi e la fragilità articolare hanno provocato fratture e deformità già in giovane età, incluso un incidente al femore a 14 anni e la rottura a 22. Nel 1991 ho subito un intervento chirurgico sperimentale per la grave scoliosi, che stava compromettendo i polmoni e il midollo spinale.
Le complicanze della mia condizione si sono estese negli anni a dolori cronici articolari e cervicali, glaucoma, allergie plasmaclergiche e apnee notturne, risolte grazie all’uso della CPAP. Non posso assumere antinfiammatori derivati dall’aspirina, quindi convivo con il dolore in tutta la sua intensità. Questa esperienza personale mostra quanto la pseudoacondroplasia possa variare in gravità e sottolinea l’importanza di un approccio multidisciplinare e personalizzato, oltre alla necessità di una maggiore attenzione scientifica verso forme rare e uniche















